Algunas de las Emergencias Vasculares que atendemos
ANEURISMA AÓRTICO ROTO Ocurre cuando un aneurisma en la aorta, el principal vaso sanguíneo del cuerpo se rompe provocando una hemorragia masiva. Los síntomas pueden incluir dolor intenso y repentino en el abdomen o la espalda, desmayo y shock.
TROMBOSIS VENOSA PROFUNDA (TVP) CON EMBOLIA PULMONAR Una TVP es la formación de un coágulo sanguíneo en una vena profunda, generalmente en las piernas. Si parte de este coágulo se desprende y viaja a los pulmones, puede causar una embolia pulmonar, una condición potencialmente mortal. Los síntomas incluyen dificultades para respirar, dolor en el pecho y tos ocasionalmente con sangre.
ISQUEMIA AGUDA DE EXTREMIDADES Esta situación ocurre cuando hay un bloqueo súbito en el flujo sanguíneo hacia una extremidad generalmente debido a un coágulo. Los síntomas incluyen dolor, palidez, pulso débil o ausente en la extremidad, entumecimiento y frialdad.
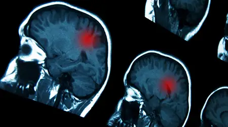
ACCIDENTE CEREBROVASCULAR (ACV) Conocido popularmente como derrame cerebral. Un ACV ocurre cuando el flujo sanguíneo a una parte del cerebro se interrumpe lo que puede ser causado por un coágulo (ACV ISQUÉMICO) o por la ruptura de un vaso sanguíneo (ACV HEMORRÁGICO). Los síntomas incluyen debilidad súbita o entumecimiento en la cara, brazo o pierna especialmente en un lado del cuerpo, confusión, dificultad para hablar o entender, problemas para ver y pérdida de equilibrio.
DISECCIÓN AÓRTICA Es una condición grave en la cual se produce una lágrima en la pared interna de la aorta que puede causar un dolor intenso en el pecho o la espalda y puede llevar a la ruptura de la aorta si no se trata rápidamente.
TROMBOSIS ARTERIAL La formación de un coágulo en una arteria puede bloquear el flujo sanguíneo y causar isquemia en órganos vitales como el corazón (infarto de miocardio) o el cerebro (ACV isquémico).
RUPTURA DE VENAS VARICOSAS Aunque menos comunes como emergencia, las venas varicosas pueden romperse y causar hemorragias significativas.
MANEJO DE EMERGENCIAS VASCULARES El tratamiento de emergencias vasculares depende de la condición específica y pupede incluir medidas como la administración de medicamentos anticoagulantes o trombolíticos, cirugía de emergencia (reparación de aneurismas o ByPass arterial) y manejo de soporte vital en situaciones críticas.
Importancia de la atención inmediata
La pronta atención médica en estas situaciones es crítica para prevenir daños irreversibles o la muerte. En el caso de una emergencia vascular es escencial buscar atención médica inmediatamente.

